فارسی English العربية
یرقات الدیدان الدبوسیة فی عینة من رجل یبلغ من العمر 24 عامًا قرر فتح مخبز

یرقات الدیدان الدبوسیة فی عینة من رجل یبلغ من العمر 24 عامًا قرر فتح مخبز

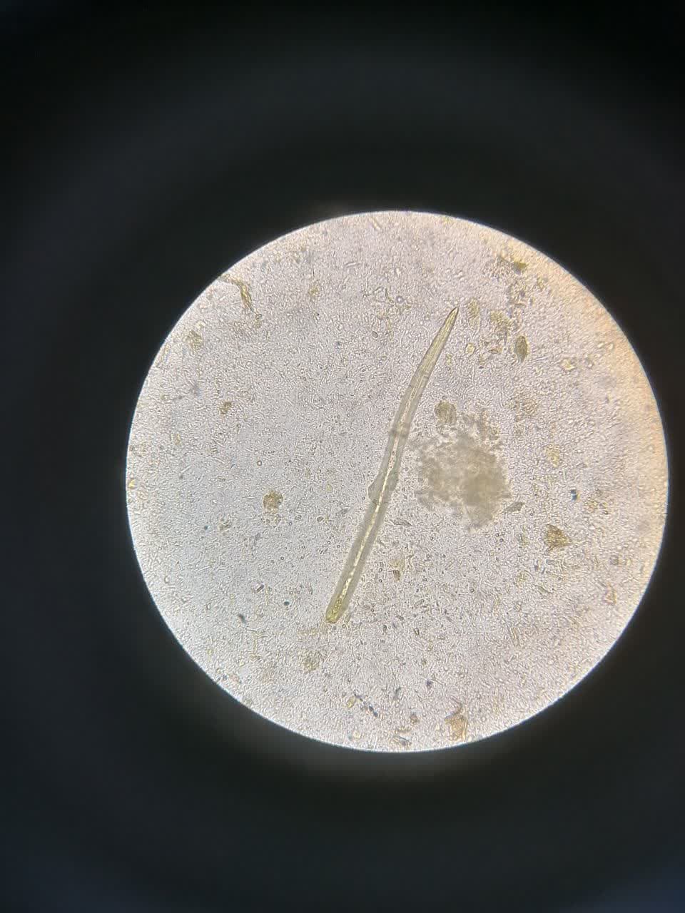
الملاحظة المجهریة یرقات الدیدان الدبوسیة الذکور والإناث ذات الاسم العلمی Enterobius vermicularis (Oxyuris) فی براز v[g یبلغ من العمر 24 سنة فی قسم الطفیلیات فی مختبر سیبهر

 

اكتب تعليقك حول هذه المقالة



Phone Icon التشاور والاختبار